ABC
| Registro
ABCABC de SevillaLa Voz de CádizABC
Blogs Cosas del cerebro por Pilar Quijada

Esclerosis múltiple: La pérdida de volumen cerebral, buen marcador de discapacidad

Esclerosis múltiple: La pérdida de volumen cerebral, buen marcador de discapacidad
Pilar Quijada el

La esclerosis múltiple (EM) es una enfermedad neurodegenerativa, cuyas causas se desconocen, aunque se sabe que hay mecanismos autoinmunes involucrados. Se estima que alrededor de 47.000 personas padecen EM en nuestro país, una cifra que cada año suma cuatro nuevos casos por cada 100.000 habitantes, según datos de la Sociedad Española de Neurología, que estos días celebra su LXVI Reunión Anual en Valencia.

El 70% de los casos de EM se producen entre los 20 y 40 años, en pleno desarrollo personal y laboral, y pueden mermar las capacidades físicas y cognitivas. Sin embargo, el inicio de la enfermedad se podría producir incluso antes antes de que aparezcan los primeros síntomas, como se sabe que ocurre también en otras patologías neurodegenerativas. Con la evolución de la EM hay una pérdida creciente de la funcionalidad física (dificultades para caminar) y cognitiva (problemas para realizar tareas mentales o de memoria). La discapacidad motora y cognitiva se puede agravar con cada brote o recaída. Por eso, los tratamientos modificadores de la enfermedad buscaban reducir el número de recaídas por año. Pero ahora una nueva clase de fármacos (los agonistas de receptores de la esfingosina) parece tener un efecto neuroprotector al reducir la pérdida de volumen cerebral.

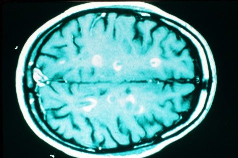
La pérdida de funciones físicas y cognitivas tiene su origen en dos tipos de daño que provocan la pérdida de neuronas y tejido cerebral: lesiones inflamatorias focales (daño focal) y procesos neurodegenerativos más generalizados (daño difuso). Las lesiones inflamatorias focales pueden presentarse clínicamente como recaídas y contribuir a generar discapacidad. El daño difuso se manifiesta al inicio de la enfermedad, a menudo no es perceptible y se relaciona con la pérdida de volumen cerebral y la acumulación de discapacidad irreversible.

Para el seguimiento de la EM los expertos destacan cuatro aspectos clave: los brotes, la actividad en Resonancia Magnética, la acumulación de discapacidad y la pérdida de volumen cerebral. “Cuando un paciente consigue un control de estos parámetros, es decir una falta de evidencia de actividad de la enfermedad (NEDA), se confirma que está siendo abordado con el tratamiento adecuado” explica el doctor Rafael Arroyo, coordinador de Esclerosis Múltiple del Hospital Clínico San Carlos de Madrid.

Volumen cerebral
Entre los aspectos clave, la pérdida de volumen cerebral se está convirtiendo en un marcador importante de progresión de la discapacidad a largo plazo, y es una cuestión de gran interés dentro de la comunidad médica especializada en esta patología. Estudios recientes encuentran una correlación entre la pérdida de volumen cerebral (atrofia cerebral) y un aumento en el riesgo de recaídas y progreso de la discapacidad.

Los pacientes con EM pierden volumen cerebral aproximadamente de tres a cinco veces más rápido que las personas sin esta patología. Esta pérdida se produce de forma precoz, prosigue durante el curso de la enfermedad, y se ha asociado también con la disfunción cognitiva además de con la física (discapacidad).

La atrofia es un parámetro que hasta ahora los clínicos no habíamos considerado, y estos estudios nos están mostrando que muy probablemente es la responsable de que muchos pacientes vean deteriorada su funcionalidad pese a no presentar brotes ni nuevas lesiones en resonancia magnética. Por esto resulta perentorio elaborar un consenso sobre la medición y manejo terapéutico de la atrofia” explica el doctor José Meca, neurólogo y Director de la Unidad de Esclerosis Múltiple del Hospital Universitario de la Virgen de la Arrixaca de Murcia.

El interés de utilizar el volumen cerebral como marcador de atrofia cerebral se ha incrementado en los últimos años, debido al desarrollo de nuevos tratamientos con un potencial efecto neuroprotector o neurorreparador” explica la doctora Cristina Auger, de la Unidad de Resonancia Magnética del Servicio de Radiología del Hospital Universitario Vall d’Hebron, de Barcelona.

Abordaje terapéutico

El doctor Arroyo señala que “la EM es una de las patologías que está teniendo una investigación más activa y en los últimos diez años han aparecido fármacos más eficaces, cómodos y con un mejor perfil de efectos adversos que mejoran la calidad de vida del paciente, como es el caso de Fingolimod, que ha demostrado su eficacia tanto en los primeros ensayos clínicos, como en la práctica clínica diaria, siendo el primer fármaco que logra la falta de evidencia de actividad en pacientes con Esclerosis Múltiple Recurrente Remitente (EMRR)”.

Fingolimod es un inmunomodulador capaz de retener selectivamente los linfocitos autorreactivos en los ganglios linfáticos para reducir su penetración perjudicial en el sistema nervioso central, reduciendo el daño focal. También se ha mostrado eficaz en reducir la pérdida de volumen cerebral, por lo que tiene efecto neuroprotector.

 

Para el doctor Meca, “uno de los mayores retos de los especialistas en el manejo del paciente con EM es encontrar una medida que permita valorar en la práctica clínica el efecto de los medicamentos que ayudan a disminuir la neurodegeneración”.
La EM es una enfermedad con dos componentes, uno inflamatorio y otro neurodegenerativo y para analizar este último es necesario utilizar resonancia magnética.
en los últimos años se está realizando un gran esfuerzo en el desarrollo y aplicación de técnicas de RM que permiten detectar de forma específica, sencilla y reproducible aquella afección macro o microscópica que se relaciona con el grado de discapacidad clínica”, explica la doctora Auger.

Investigación
Pilar Quijada el

Entradas más recientes